48+ Brain Tumor Causing Seizures In Dogs Pictures

Get Hemorrhagic Stroke Brain Hemorrhage Ct Scan US

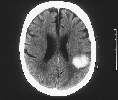
Get Hemorrhagic Stroke Brain Hemorrhage Ct Scan US. After the initial diagnosis of gi and ct of the head. Therefore you should always look for asymmetries and the presence ♦ figure 24.

stroke | Taber's Medical Dictionary
stroke | Taber's Medical Dictionary from www.tabers.com
A ct scan can help diagnose hemorrhagic stroke. Hypertensive haemorrhage and lobar haemorrhage are two distinct forms of haemorrhagic stroke. Risk factors specific to hemorrhagic stroke.

In hemorrhagic stroke, bleeding occurs directly into the brain parenchyma.

Stroke series video 1 of 7: This bleeding can occur either within the brain or between the brain and the skull. • brain imaging is a crucial part of the emergent evaluation. A hemorrhagic stroke that occurs inside your brain is also called an intracerebral hemorrhage.

Komentar